Laboratoire Renaissance (Dominique Watzki)
Les laboratoires de prothèse sont des partenaires indispensables et pour nous la proximité ainsi que la bonne entente avec nos prothésistes sont des éléments importants quant à la qualité des travaux mais aussi au bon déroulement des différentes étapes.
Le laboratoire Renaissance, situé à Illkirch, est celui avec lequel nous collaborons pour les travaux de céramique depuis presque 30 ans.
Spécialisé en prothèse conjointe (fixe), le laboratoire a axé son activité, outre les prothèses courantes, sur les travaux d’esthétiques, de grandes étendues et sur implants. Il sélectionne en matières premières, les meilleurs matériaux aux normes ISO et marquage CE.

Laboratoire Schiepan
Le laboratoire SCHIEPAN, situé à Strasbourg, est notre partenaire pour la réalisation des appareillages totaux avec implants.

Laboratoire Flecher
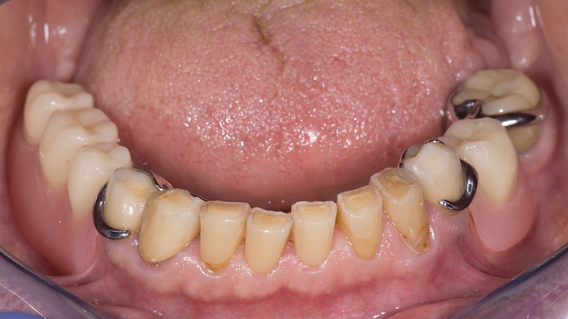
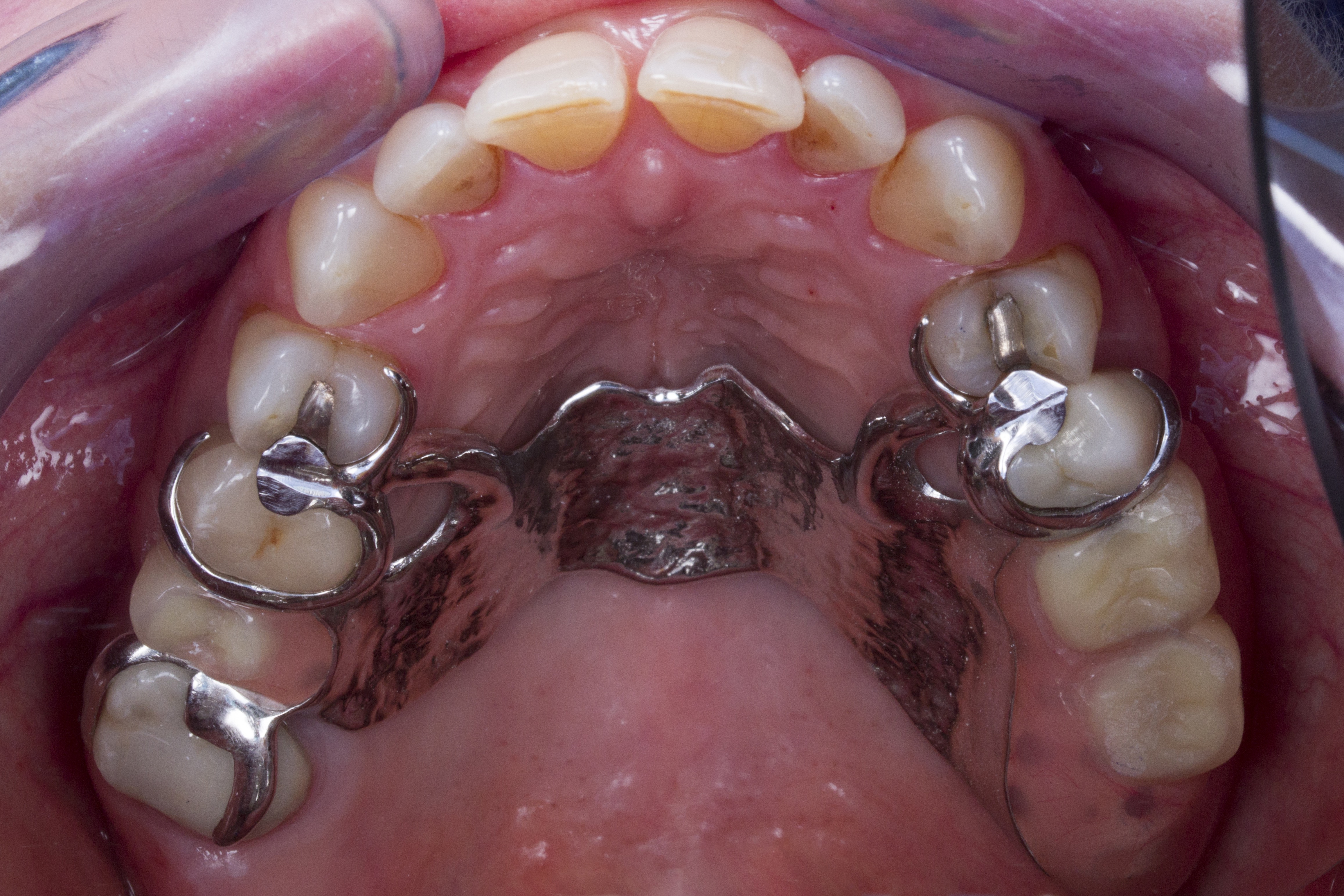
Le laboratoire FLECHER, situé à Strasbourg, est notre partenaire pour la réalisation des appareillages amovibles partiels à armature métallique (stellite). Son savoir-faire dans ce domaine, par des méthodes conventionnelles mais aussi numériques, constitue un atout de qualité.
Enfin, c’est aussi ce savoir-faire qui est apprécié dans tous nos travaux de type prothèse maxillo-faciale.
